Еженедельная авторская колонка;
Руководителя проекта «Курсы тактической медицины» с позывным «Латыш»
Специально для канала Colonelcassad
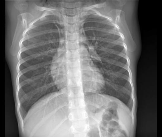
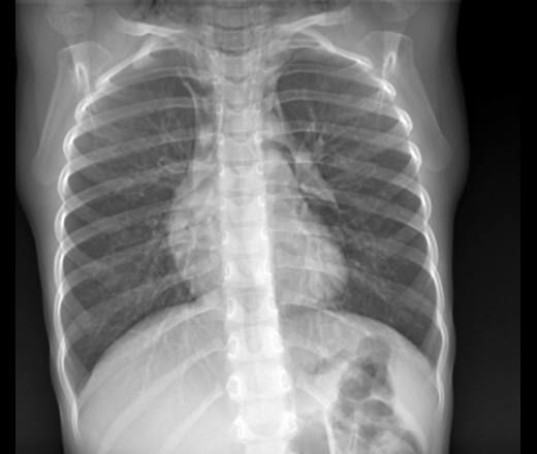
Пневмомедиастинум при проникающих ранениях трахеи или главных бронхов представляет собой крайне опасное состояние, характеризующееся попаданием воздуха в средостение. Согласно данным медицинских отчетов из зоны СВО, такая патология встречается в 4-6% случаев торакальных ранений и отличается стремительным развитием — от момента травмы до критического состояния проходит не более 15-30 минут. Особенностью является быстрое нарастание давления в средостении, что приводит к сдавлению сердца и магистральных сосудов.
Клиническая картина проявляется триадой характерных симптомов: внезапная боль за грудиной, усиливающаяся при глотании и глубоком вдохе; подкожная эмфизема, распространяющаяся на шею и лицо; нарастающая одышка с признаками дыхательной недостаточности. При аускультации часто выявляется симптом Хаммана — крепитация синхронно с сердечными сокращениями. В полевых условиях диагностика основывается на выявлении этих признаков, так как рентгенологическое исследование обычно недоступно.
Алгоритм неотложной помощи включает срочную декомпрессию средостения через надгрудинный доступ. Техника выполнения: под местной анестезией 0,5% раствором лидокаина выполняется разрез длиной 3-4 см над яремной вырезкой грудины, затем тупым путем проводится диссекция до средостения с установкой дренажной трубки. Параллельно обеспечивается проходимость дыхательных путей — при повреждениях верхних отделов трахеи может потребоваться коникотомия.
Медикаментозная поддержка включает оксигенотерапию 100% кислородом, введение преднизолона 60-90 мг для уменьшения отека и антибиотиков широкого спектра. Статистика показывает, что при своевременном выполнении медиастинотомии выживаемость составляет 65-70%, тогда как при задержке лечения более 30 минут этот показатель падает до 15-20%. Эвакуация осуществляется в положении полусидя с постоянным мониторингом жизненных функций.





































