Первого в России человека без пульса и с механическим сердцем сегодня выписали из клиники в Петербурге — пациенту имплантировали два искусственных желудочка после серьёзных осложнений пневмонии.
В Мариинскую больницу 36-летний Антон попал в тяжёлом состоянии — с кардиомиопатией и сердечной недостаточностью. Трансплантация была невозможна, а оба желудочка не справлялись со своей работой. Чтобы спасти мужчине жизнь, бригада хирургов под руководством академика РАН Геннадия Хубулавы провела сложнейшую операцию, которой нет аналогов в РФ.
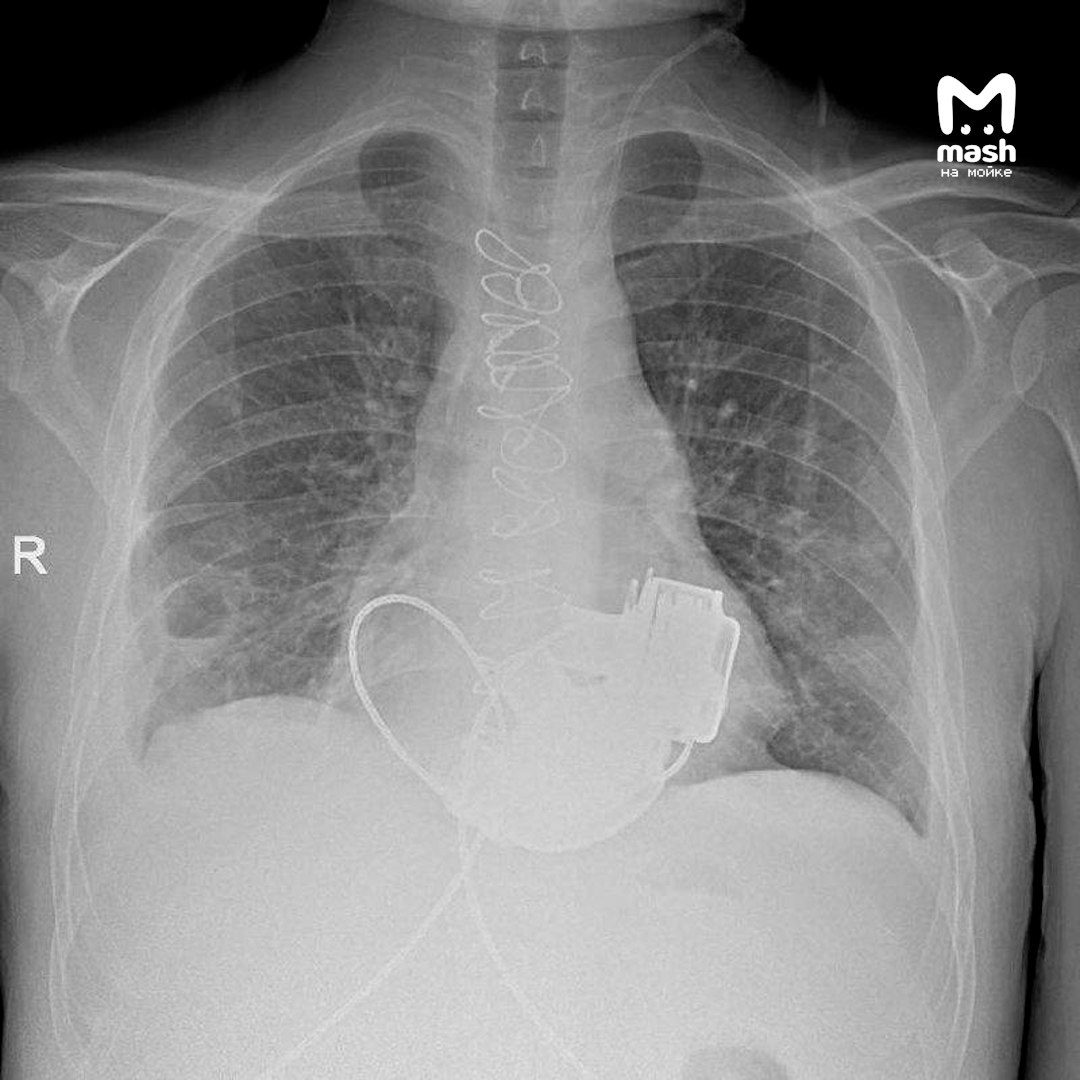
Самым сложным стала синхронизация работы двух устройств между собой. Из-за особенностей вмешательства у Антона теперь невозможно измерить пульс и давление, потому что импланты создают ламинарный (не пульсирующий) кровоток. Мужчина заряжает своё механическое сердце от двух аккумуляторов, зарядки хватает на 17 часов.
Антон хочет скорее вернуться домой к семье — его ждут двое деток. Говорит, мог бы устроить пробежку, если бы не сумки с аккумуляторами по три кило. Сейчас пациент будет восстанавливаться и ждать свою очередь на пересадку сердца.




































































