Врачи НИИ Джанелидзе спасли пациента с разрывом аорты после тяжелой травмы
Пострадавший получил производственную травму, когда на него упала железобетонная плита.
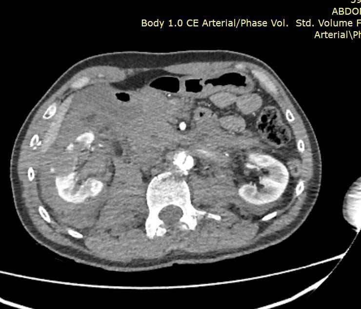
После госпитализации у пациента обнаружили массивную забрюшинную гематому, разрыв инфраренального отдела брюшной аорты, повреждение правой почки и поджелудочной железы.
Чтобы спасти человека, врачи провели экстренную операцию. Во время нее медики удалили почку с правой стороны, зашили разрыв брюшной аорты и перевязали поврежденные поясничные артерии.
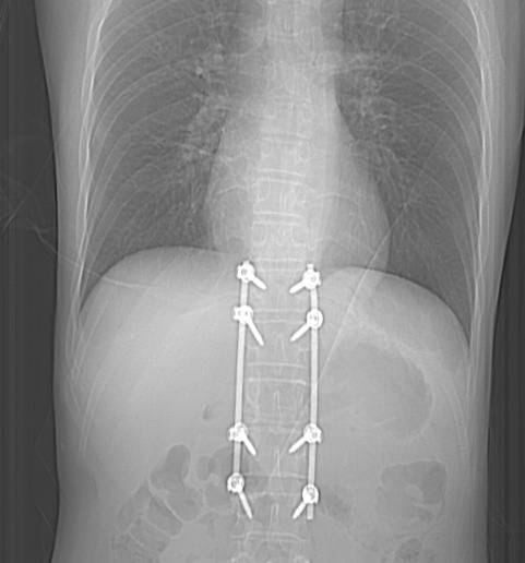
Медики также обнаружили и устранили у пациента повреждения желчевыводящих путей. Из-за этого пострадавшему удалили желчны пузырь и провели дренирование холедоха. Затем пострадавшему потребовалась операция на позвоночнике с транспедикулярной фиксацией.
После лечения и интенсивной терапии состояние пациента стабилизировалось. Его выписали на 48-е сутки после травмы в удовлетворительном состоянии.
Участники международной конференции в Зальцбурге, посвященной экстренной хирургии, назвали этот случай одним из самых сложных и интересных кейсов. С докладом про него выступил Евгений Колчанов, врач-хирург 14-го отделения НИИ скорой помощи им. И.И. Джанелидзе.
пресс-служба И.И. Джанелидзе





















































