Заглянуть внутрь пепла: роль рентгена в расследовании причин пожаров
Медицина и пожарная охрана – две сферы деятельности, перекликающиеся не только при спасении людей на пожарах, но и в деле расследования причин их возникновения.
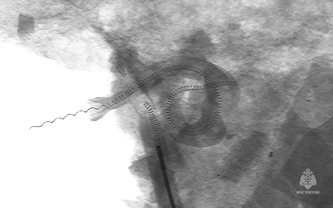
Мало кто знает, что в деле установления истины по причинам пожаров пожарные эксперты используют в своей работе рентгенографию.
Испытательная пожарная лаборатория Санкт-Петербурга является одним из немногих экспертных учреждений МЧС России, внедряющим в практику современные неразрушающие методы исследований. Они позволяют, не нарушая изначальных свойств объекта, внешнюю оболочку, корпусные элементы или конгломерат, в котором находится объект исследования, получить значимую информацию о его состоянии и выявить дефекты входящих в его состав элементов.
Одним из внедренных в практику методов является – метод микрофокусной рентгенографии, реализованный с использованием многофункциональной передвижной рентгеновской установки ПРДУ. Она позволяет получать детальные изображения с многократным увеличением без потери резкости, что значительно повышает диагностические возможности. Пожарным экспертам установка помогает проводить исследования сложных объектов пожарно-технической экспертизы неразрушающим способом, сохраняя объект исследования в первоначальном виде, и обеспечить обнаружение криминалистически значимых дефектов, размер которых исчисляется десятками и даже единицами микрометров. В настоящее время в России подобное оборудование эксплуатируется только в Санкт-Петербургской пожарной лаборатории.




















































