1 В Санкт-Петербурге выписывают пациента без пульса.
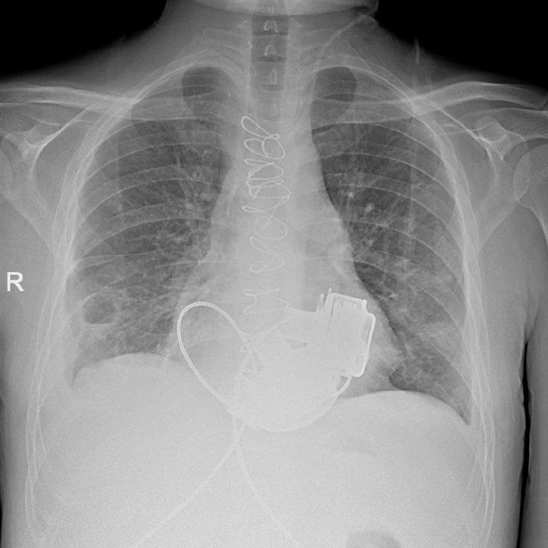
В Мариинской больнице готовится к выписке уникальный пациент. Как сообщил городской комитет по здравоохранению, в конце ноября 2025 года мужчине впервые в России имплантировали сразу два искусственных желудочка сердца.
36-летний мужчина, который поступил в стационар с кардиомиопатией и терминальной сердечной недостаточностью. Показатели работы сердца были такими, будто человек уже не жив, а мертв. При этом из-за ряда осложнений трансплантация сердца была невозможной, отметили в комитете. Главврач больницы Игорь Реутский принял решение о проведении непростого оперативного вмешательства.
Обычно пациенту вживляют одно такое устройство, но в этом случае потребовались сразу два прибора. Операцию провела бригада хирургов под руководством академика РАН Геннадия Хубулавы. Самым сложным, по словам специалистов, была синхронизация работы двух искусственных желудочков, но с этой задачей врачи успешно справились. Сейчас состояние пациента стабильное, что позволяет планировать его выписку из стационара.
#Санкт_Петербург #медицина #сердце








































